Acerca de mí
Conoce mi formación y visión
Más sobre mí
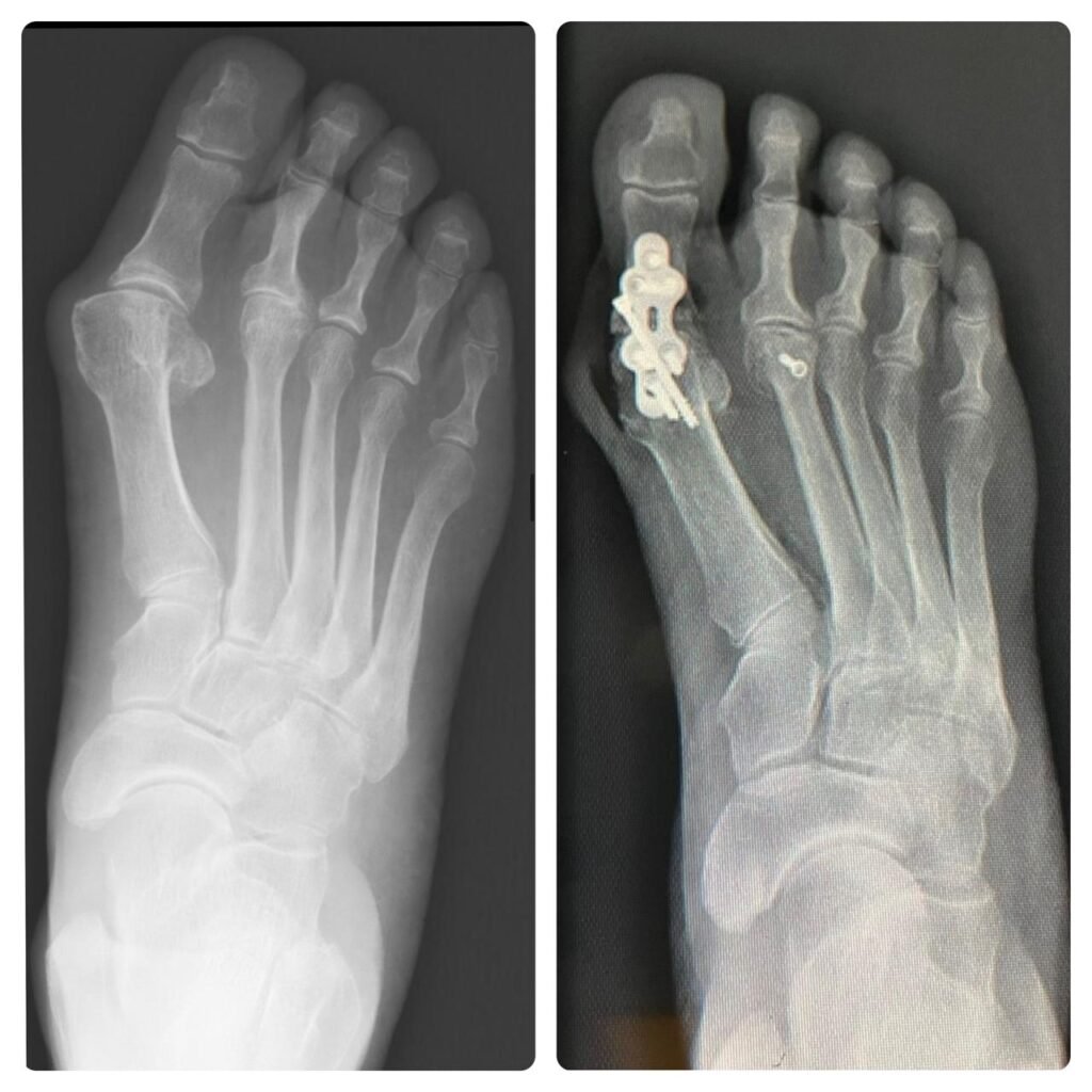
Dr. Luis Gómez – Traumatología y Ortopedia
He ayudado a cientos de pacientes a recuperar su movilidad y bienestar.
Ofrezco un enfoque integral en traumatología y ortopedia, garantizando atención especializada en cirugía de pie y tobillo, así como en otras condiciones ortopédicas, siempre con el objetivo de mejorar la calidad de vida de mis pacientes

Compromiso Salud
Como médico especialista en traumatología y ortopedia, mi misión es brindar atención médica de alta calidad, enfocándome en el tratamiento efectivo y personalizado de cada uno de mis pacientes. Mi objetivo es ofrecer un enfoque humano y profesional que garantice su bienestar y una recuperación óptima.
Futuro Saludable
Aspiro a ser reconocido como líder en atención ortopédica en Guadalajara, ofreciendo soluciones innovadoras en cirugía de pie y tobillo. Mi propósito es promover la salud y la movilidad de mis pacientes a través de un servicio excepcional y compasivo.


Formación:
- Médico Cirujano Partero – Universidad de Guadalajara – Cédula: 12177371
- Especialidad de Traumatología y Ortopedia – Universidad de Guadalajara – 14222625
- Subespecialidad de Cirugía de Pie y Tobillo – Universidad Autónoma de México



